
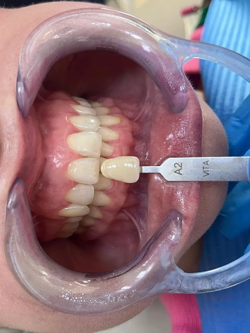
Fațete dentare
Fațetele pot fi luate în calcul atunci când se dorește corectarea formei, proporției sau aspectului estetic al unor dinți, în funcție de indicația clinică.

Lucrez în zona de stomatologie generală, îmi place să folosesc tehnologii moderne atunci când aduc un beneficiu real pacientului și scriu aici despre lucrurile pe care le explic cel mai des în cabinet.

Sunt medic stomatolog cu o experiență de 5 ani în domeniu, activând în cadrul unui lanț de clinici stomatologice. Practica mea este axată pe stomatologie generală, abordând o gamă variată de tratamente adaptate nevoilor fiecărui pacient.
Am un interes deosebit pentru utilizarea tehnologiilor moderne, în special a laserelor dentare, pe care le integrez în tratamentele stomatologice pentru a oferi soluții minim invazive, eficiente și confortabile.
Prin articolele publicate, îmi propun să ofer informații clare și utile despre procedurile stomatologice, contribuind la o mai bună înțelegere a sănătății orale și a opțiunilor de tratament disponibile.

Fațetele pot fi luate în calcul atunci când se dorește corectarea formei, proporției sau aspectului estetic al unor dinți, în funcție de indicația clinică.

Implanturile dentare reprezintă o opțiune de tratament pentru înlocuirea dinților lipsă, după evaluarea atentă a fiecărui caz.

Albirea dentară este o procedură frecventă atunci când se dorește îmbunătățirea culorii dinților, după stabilirea indicației potrivite.